Focus sur la gestion des sites d’extraction : la préservation alvéolaire
SFPIO Hauts de France
18, rue Saint Jacques
59800 Lille
Région
Hauts de France
Journée de conférence et TP de 9h à 17h – Pause déjeuner incluse
- Travaux Pratiques sur machoires animales
- Découverte du protocole IEMARP (ou Technique de la membrane exposée) + TP
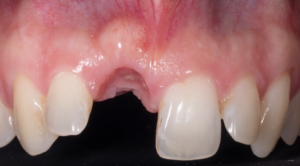
- Gestion des sites d’extraction en secteur esthétique
- Extraction/Implantation Immédiate
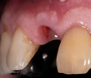
Lors de cette journée, nous aborderons les différentes manières de gérer les alvéoles d’extraction, que ce soit dans le cas d’alvéoles intactes ou présentant un défaut au niveau d’une ou plusieurs parois alvéolaires.
Nous rappellerons les fondements histologiques du processus de cicatrisation des alvéoles d’extraction. Nous verrons comment le fait d’agir au moment de l’extraction peut permettre de simplifier considérablement les plans de traitement, voire d’améliorer la prédictibilité du résultat final, notamment dans le secteur esthétique.
Nous évoquerons également les protocoles d’extraction implantation immédiate en secteur postérieur, en secteur esthétique ou en cas de passage à un édentement total.
L’après-midi, un TP sera organisé pour mettre en pratique le protocole IEM ARP.
