Evolutions de la parodontologie en 2026 & nouveau diagnostic de maladies parodontales
SFPIO Hauts de France
18, rue Saint Jacques
59800 Lille
Région
Hauts de France
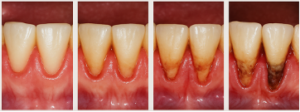
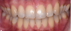
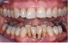
La parodontologie a connu une véritable révolution ces dernières années. Nouvelles classifications, recommandations européennes récentes, avancées technologiques, approche individualisée et reconnaissance de l’impact systémique : la discipline change de visage.
Le 4 février 2026, venez explorer ces transformations majeures. Une soirée incontournable pour rester à la pointe de la prise en charge parodontale et péri-implantaire.
